CASE-2
CASE-2左下の大臼歯部 インプラント埋入 1本
40代 女性

初診時

手術後

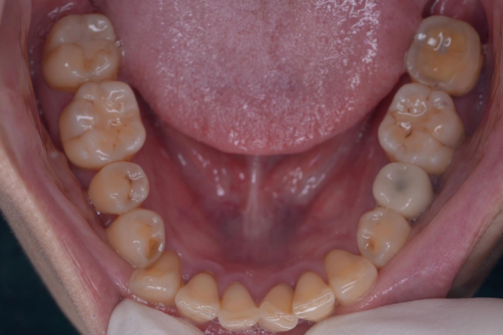
初診時

上部構造セット後
- 1
-
主訴
何もしなくても痛い
ぐらぐらと歯が揺れている - 2
-
来院時の状況と治療の経緯
歯周病と歯の根の先の炎症(根尖性歯周炎)の両方が進行しており、抜歯が必要な旨をお伝えしましたが、ご本人の希望により根の治療(根管治療を)を行いました。
治療後1年ほど経過をみていましたが、状態が改善しないため、ご納得いただいた上で抜歯。
治療法として、部分入れ歯かインプラント治療をご説明したところ、インプラントをご希望されました。 - 3
-
治療内容
・抜歯
・GBR(骨再生誘導法)
・インプラント埋入 1本 - 4
-
治療費の総額
473,000円(税込)
※GBR費用含む - 5
-
治療期間
6ヶ月
- 6
-
治療のリスク・副作用
手術後に痛みや腫れ、出血、合併症などを引き起こす可能性があります。骨の再生が十分でない場合は再度手術が必要な場合があります。
噛む感覚がご自身の歯と異なる場合があります。見た目がご自身の歯と異なる場合があります。
手術後にメインテナンスを継続しないと、インプラントが抜け落ちる可能性があります。

診察内容
診療の流れ
054-270-8155
24時間受付中WEB予約
医院情報