CASE-4
CASE-4右上の前歯部 インプラント埋入 1本
20代 男性

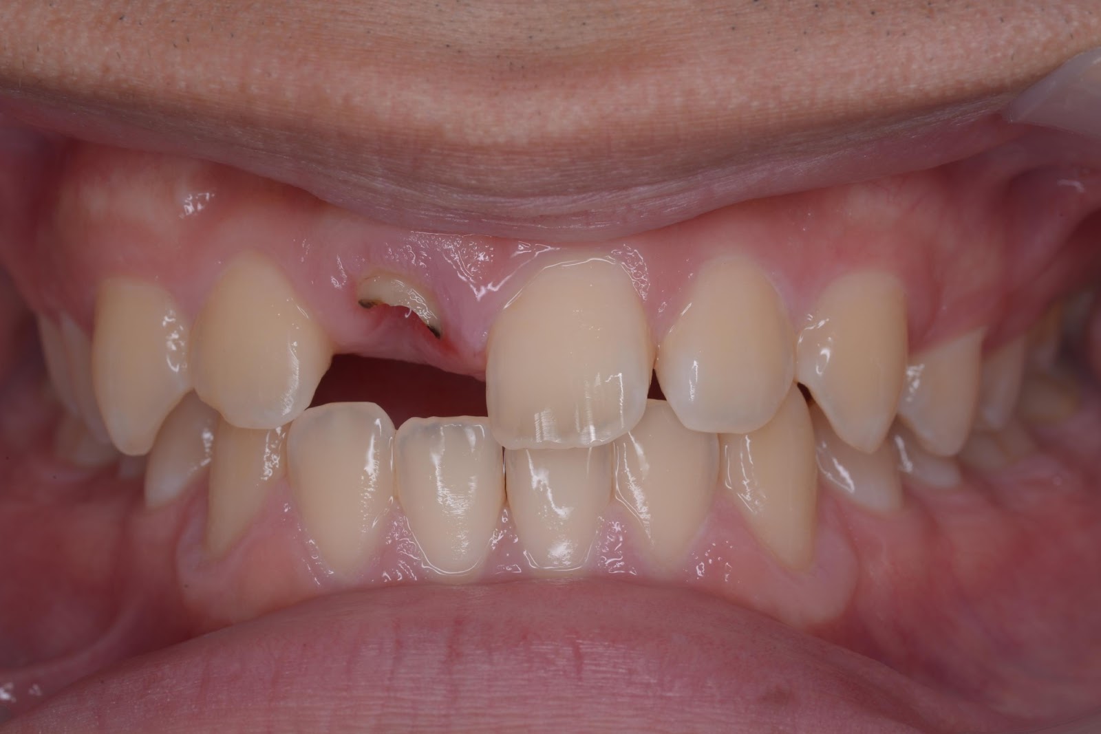
初診時

上部構造セット後

手術後

上部構造セット後
- 1
-
主訴
子供の頃に治療した前歯の差し歯が取れてしまった
- 2
-
来院時の状況と治療の経緯
歯の根だけが残っている状態なうえ、上あご側の歯質が非常に少なく、さらに歯茎に埋もれてしまっている状況だったため、差し歯での再治療は難しいと判断しました。
抜歯後はブリッジかインプラント治療を行う必要がある旨をご説明し、ご本人のご希望でインプラントを行うことになりました。 - 3
-
治療内容
・抜歯
・インプラント埋入 1本
※前歯のため、抜歯とインプラント手術を行ったその日のうちに仮歯のセットまで行いました。 - 4
-
治療費の総額
495,000円(税込)
- 5
-
治療期間
5ヶ月
- 6
-
治療のリスク・副作用
手術後に、痛みや腫れ、出血、合併症などを引き起こす可能性があります。噛む感覚がご自身の歯と異なる場合があります。
見た目がご自身の歯と異なる場合があります。手術後にメインテナンスを継続しないと、インプラントが抜け落ちる可能性があります。

診察内容
診療の流れ
054-270-8155
24時間受付中WEB予約
医院情報