CASE-5
CASE-5右上、左下の大臼歯部 インプラント埋入 2本
60代 男性

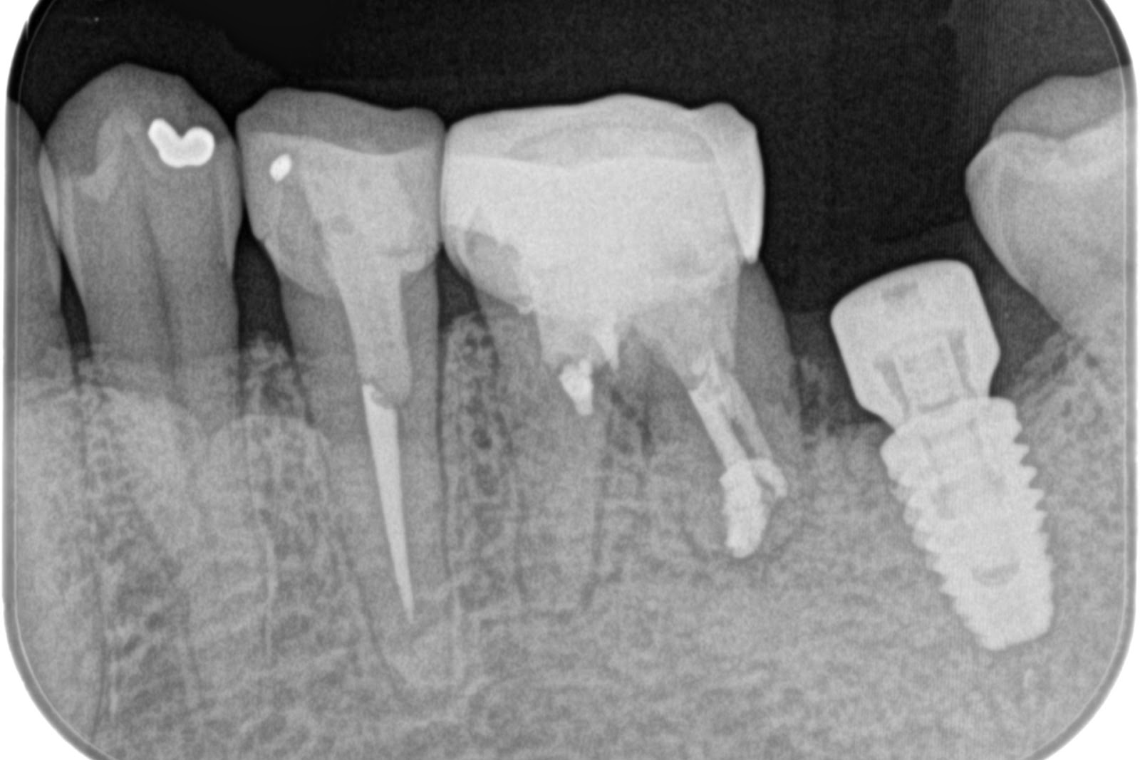
手術後(右上)

上部構造セット後(右上)

手術後(左下)

上部構造セット後(左下)

上部構造セット後(上)

上部構造セット後(下)
- 1
-
主訴
来院する2~3か月前に左下奥歯の被せ物が取れてしまった
- 2
-
来院時の状況と治療の経緯
被せ物が取れてしまっていた左下の奥歯は重度の虫歯、右上の奥歯は歯の根が破折していたため、ともに抜歯が必要な状態でした。
患者さまご自身がもともとインプラントをご希望されていたこともあり、院長と直接ご相談いただいた上でインプラント治療で進める方向で確定しました。 - 3
-
治療内容
<右上の奥歯>
・抜歯
・GBR(骨再生誘導法)
・インプラント埋入 1本
<左下の奥歯>
・抜歯
・インプラント埋入 1本 - 4
-
治療費の総額
右上の奥歯:473,000円
左下の奥歯:440,000円 - 5
-
治療期間
右上の奥歯:5ヶ月
左下の奥歯:4ヶ月 - 6
-
治療のリスク・副作用
手術後に痛みや腫れ、出血、合併症などを引き起こす可能性があります。骨の再生が十分でない場合は再度手術が必要な場合があります。
噛む感覚がご自身の歯と異なる場合があります。見た目がご自身の歯と異なる場合があります。
手術後にメインテナンスを継続しないと、インプラントが抜け落ちる可能性があります。

診察内容
診療の流れ
054-270-8155
24時間受付中WEB予約
医院情報