CASE-1
CASE-1左上の小臼歯部 インプラント埋入 1本
50代 女性

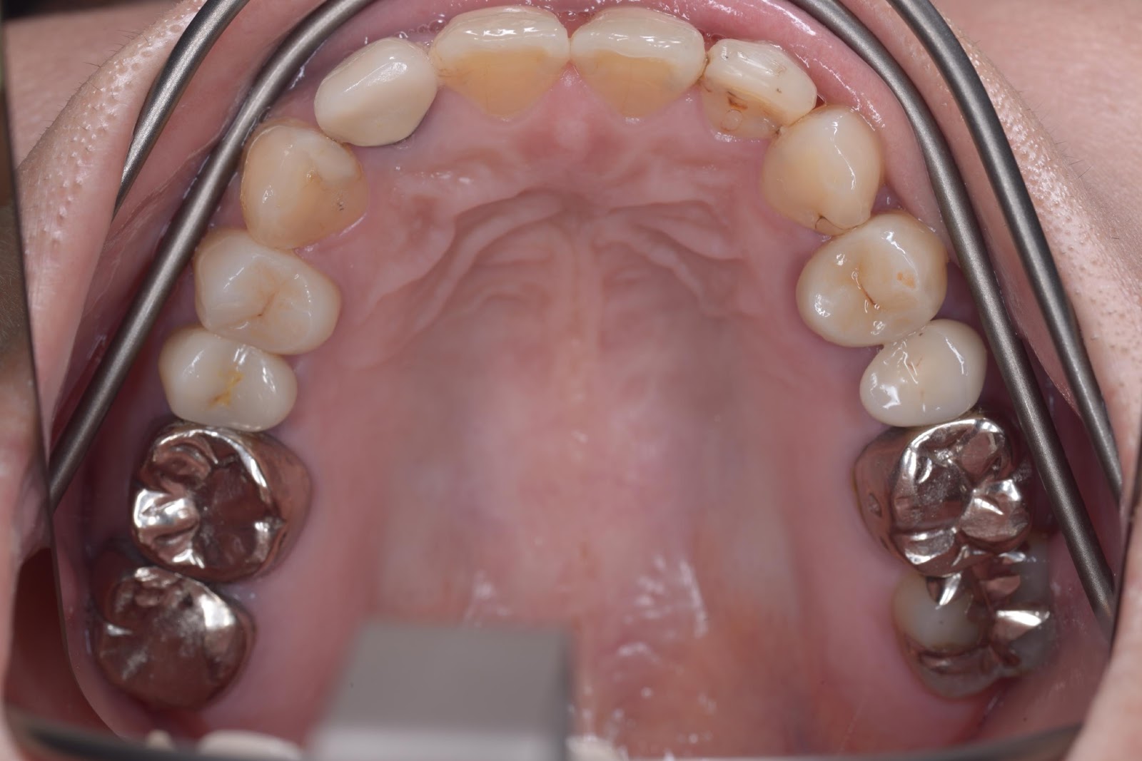
初診時

上部構造セット後

手術後

上部構造セット後
- 1
-
来院時の状況と治療の経緯
治療箇所にはもともと自費の被せ物が入っていましたが、初診時には土台ごと揺れ動いている状態で、その後まもなくして外れてしまいました。
残っているご自身の歯の量が極めて少なく、このままの状態で同様の被せ物治療をしても長期的な維持が難しいと判断したため、当院では以下の治療方法をご提案しました。
<ご提案①>
矯正治療により歯を引き出した上で、再度土台と被せ物治療
<ご提案②>
抜歯した上でインプラント治療またはブリッジ治療、部分入れ歯治療
それぞれの治療のメリットやデメリットをきちんとご説明し、患者さまご自身でインプラント治療を選択されました。 - 2
-
治療内容
・抜歯
・GBR(骨再生誘導法)
・インプラント埋入 1本 - 3
-
治療費の総額
473,000円(税込)
※GBR費用含む - 4
-
治療期間
6ヶ月
- 5
-
治療のリスク・副作用
手術後に痛みや腫れ、出血、合併症などを引き起こす可能性があります。骨の再生が十分でない場合は再度手術が必要な場合があります。
噛む感覚がご自身の歯と異なる場合があります。見た目がご自身の歯と異なる場合があります。
手術後にメインテナンスを継続しないと、インプラントが抜け落ちる可能性があります。

診察内容
診療の流れ
054-270-8155
24時間受付中WEB予約
医院情報